-
病例分享 | 一例典型TURP综合征的麻醉处理

-
未来已来!新青年麻醉AI助手重磅上线

-
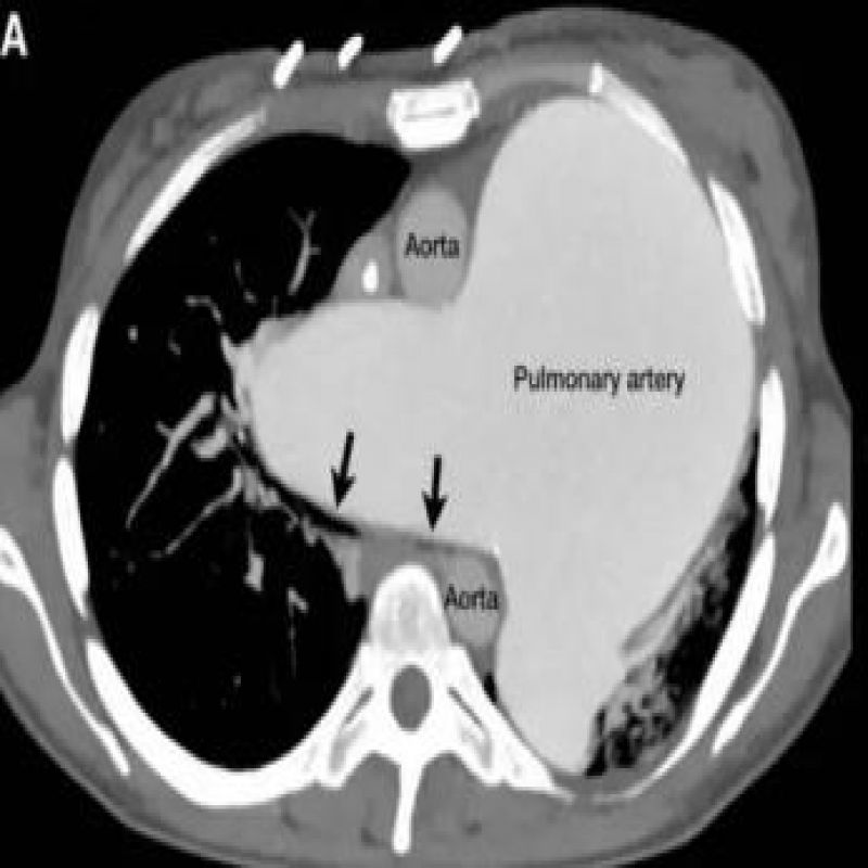
麻醉病例︱一例肺动脉严重扩张患者的麻醉管理

-
病例讨论︱术中气管导管脱出1例

-
病例分享丨琥珀酰明胶注射液在冠状动脉旁路移植术中的应用

-
90岁高龄患者在麻醉诱导期间出现面罩通气困难,原因竟是胸主动脉瘤压迫气道

-
区域阻滞术中抽搐谜案:醉酒患者的“隐形杀手”竟是它?警惕酒精性低血糖的致命陷阱区域阻滞术中抽搐谜案:醉酒患者的“隐形杀手”竟是它? ...
-
病例分享丨琥珀酰明胶电解质醋酸钠注射液在创伤失血性休克患者中的应用

-
急救必备丨简易呼吸器的规范使用与操作要点

-
麻醉后遭遇患者阴茎勃起怎么办?

-
专家共识丨髂筋膜间隙阻滞技术中国专家共识(2025版)

-
颈部巨大神经纤维瘤病手术的气道管理与挑战

-
中华医学会第30次麻醉学术年会(2025)日程更新——9月19~21日

-
别再对着凝血七项犯愁!手把手教你看懂报告

-
会议通知丨 CSA第30次学术年会(2025)注册优惠倒计时8天

-
高原环境麻醉药物体内代谢研究方面取得新突破
高原低氧环境药物代谢研究创新团队已在药物代谢动力学、药物代谢酶、药物转运体...

回顶部